


![]() |
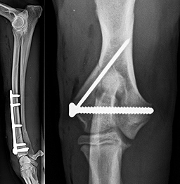
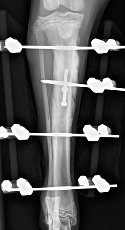
Mein Forschungsinteresse liegt in der Orthopädie. Bereits während meines chirurgischen Spezialistentrainings an der Universität Lüttich habe ich begonnen, mich mit den komplexen Anforderungen der Knochenheilung auseinander zu setzen. Die optimale Frakturheilung hängt von verschiedenen Faktoren ab, wie z.B. Weichteiltrauma, Art und Lokalisierung der Fraktur, Alter des Tieres etc. Dadurch ist jeder Knochenbruch sehr individuell und eine standardisierte Frakturversorgung ist nicht möglich oder ratsam. Stets gilt es, eine Balance zwischen ausreichender Stabilität und erforderlicher Elastizität zu schaffen und gleichzeitig die Anzahl und Art der Implantate anzupassen. |
Wie Frakturen entstehen, wie die Stressverteilung im Knochen vor Auftreten der Fraktur und nach Osteosynthese verläuft, und welche Implantate bei den jeweiligen Frakturtypen verwendet werden sollten, ist derzeit unser Forschungsschwerpunkt. Die Auswahl der Implantate basiert derzeit oft auf Erfahrungswerten und mechanischen Tests, ist aber in vielen Fällen klinisch noch nicht wissenschaftlich validiert. Mit unserem Forschungsprojekt soll diese Validierung anhand von Computersimulationen ermöglicht werden. Zu diesem Zweck werden verschiedenen Frakturtypen und Frakturlokalisationen an einem Computermodell nachgebildet und die klassischen Implantate simuliert. Bereiche verstärkter Beanspruchung werden sichtbar gemacht und Verbesserungsvorschläge können am Computer getestet werden. Langfristig soll eine Computersoftware erarbeitet werden, die den Kleintierchirurgen eine Entscheidungshilfe an die Hand gibt.
Das Wissen, das ich bei meiner Arbeit in der Praxis und in der Forschung und meiner eigenen Weiterbildung erwerbe, möchte ich auch an Kollegen weitergeben. Daher bin ich regelmäßig als Referentin auf Seminaren und in praktischen Übungen auf dem Gebiet der Orthopädie tätig.
Ich arbeite als Referentin für Improve International auf europäischer Ebene und als akkreditierte Referentin der Arbeitsgruppe für Osteosynthesefragen (AOvet).
© Copyright Dr. Beatrice Böhme 2018
letzte Änderung 24.01.18