![]() |
![]() |
![]() |
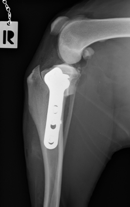
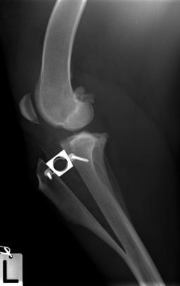
TTA |
TPLO |
MMP |
![]() |
![]() |
![]() |
Fixateur externe |
Bandersatz und Fixateur externe |
Oberarmfraktur |
![]() |
![]() |
![]() ![]() ![]() |
Beckenfraktur |
Beckenfraktur |
Fehlbildung mit Inkongruenz des Ellenbogens |
![]() |
![]() |
![]() |
Ellenbogen Coronoid |
Schulter OCD |
Hüftgelenk |
![]() |
![]() |
![]() |
Diagnostik Bandscheibenvorfall (CT) |
Luxation zwischen 1. und 2. Halswirbel, chirurgische Stabilisierung |
Subluxation Lendenwirbelsäule mit Stabilisierung |
![]() |
![]() |
![]() |
Hauttransplantation |
Laparoskopie |
Thoraxchirurgie |
© Copyright Dr. Beatrice Böhme 2018
letzte Änderung 24.01.2018